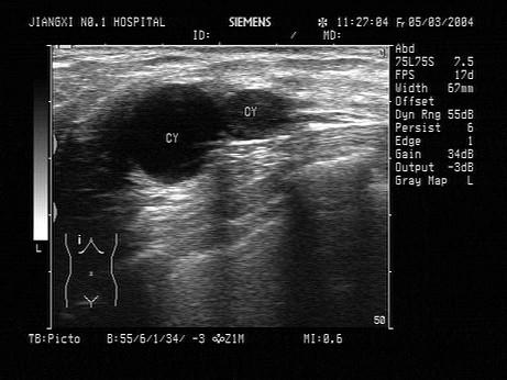
患者,女性,超声见乳房内无回光团,边清壁薄,CDFI未见血流,如图所示考虑为?(?)A.乳腺癌B.乳腺腺瘤C.乳腺脓肿D.乳腺囊肿E....

作者: rantiku 人气: - 评论: 0
问题 患者,女性,超声见乳房内无回光团,边清壁薄,CDFI未见血流,如图所示考虑为?(?)
选项 A.乳腺癌 B.乳腺腺瘤 C.乳腺脓肿 D.乳腺囊肿 E.以上都不是
答案 D
解析

猜你喜欢

发表评论
更多 网友评论0 条评论)
暂无评论

访问排行

Copyright © 2012-2014 恰考网 Inc. 保留所有权利。 Powered by tikuer.com

页面耗时0.0375秒, 内存占用1.03 MB, Cache:redis,访问数据库20次