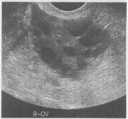
临床资料:女,29岁,自述自幼肥胖,多毛,月经稀少,结婚5年不孕。化验检查:雄激素与睾酮升高。超声综合描述:经阴道扫查,子宫小,内膜显示不清;双侧...

作者: rantiku 人气: - 评论: 0
问题 临床资料:女,29岁,自述自幼肥胖,多毛,月经稀少,结婚5年不孕。 化验检查:雄激素与睾酮升高。 超声综合描述:经阴道扫查,子宫小,内膜显示不清;双侧卵巢均匀性增大。包膜光滑增厚回声增强,每个超声切面可见>10个大小不等无.回声区,最大直径0.9cm,透声清亮。 超声提示:
选项 A.多囊卵巢综合征 B.葡萄胎 C.卵巢过度刺激综合征 D.正常卵巢声像图
答案 A
解析

猜你喜欢

发表评论
更多 网友评论0 条评论)
暂无评论

访问排行

Copyright © 2012-2014 恰考网 Inc. 保留所有权利。 Powered by tikuer.com

页面耗时0.0364秒, 内存占用1.03 MB, Cache:redis,访问数据库20次