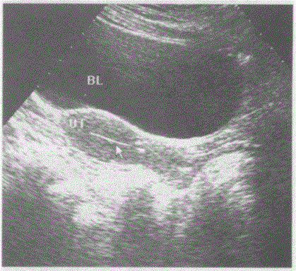
下图是子宫纵切超声图像,请回答箭头所指部位的解剖名称:A.子宫内膜B.子宫内节育环C.子宫内异物D.宫腔内积气

作者: rantiku 人气: - 评论: 0
问题 下图是子宫纵切超声图像,请回答箭头所指部位的解剖名称:
选项 A.子宫内膜 B.子宫内节育环 C.子宫内异物 D.宫腔内积气
答案 A
解析

猜你喜欢

发表评论
更多 网友评论0 条评论)
暂无评论

访问排行

Copyright © 2012-2014 恰考网 Inc. 保留所有权利。 Powered by tikuer.com

页面耗时0.0412秒, 内存占用1.03 MB, Cache:redis,访问数据库20次