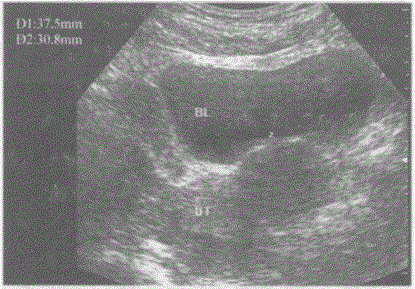
临床资料:女,49岁,常规体检。超声综合描述:子宫形态失常,宫体左侧可见3.7cm×3.1cm低回声,边界清晰,形态规则,内回声均匀,向外突起。 ...

作者: rantiku 人气: - 评论: 0
问题 临床资料:女,49岁,常规体检。 超声综合描述:子宫形态失常,宫体左侧可见3.7cm×3.1cm低回声,边界清晰,形态规则,内回声均匀,向外突起。 超声提示:
选项 A.左卵巢实性占位 B.子宫肌瘤(肌壁间) C.子宫肌瘤(浆膜下) D.阔韧带肌瘤
答案 C
解析

猜你喜欢

发表评论
更多 网友评论0 条评论)
暂无评论

访问排行

Copyright © 2012-2014 恰考网 Inc. 保留所有权利。 Powered by tikuer.com

页面耗时0.0338秒, 内存占用1.03 MB, Cache:redis,访问数据库19次