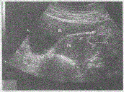
临床资料:女性,27岁,自述停经50天。化验检查:尿妊娠试验阳性。超声综合描述:子宫形态失常,左右宫角不对称,左宫角膨出变钝,内见环状无回声,无回...

作者: rantiku 人气: - 评论: 0
问题 临床资料:女性,27岁,自述停经50天。 化验检查:尿妊娠试验阳性。 超声综合描述:子宫形态失常,左右宫角不对称,左宫角膨出变钝,内见环状无回声,无回声内见胎芽及胎心搏动。 超声提示:
选项 A.左输卵管间质部异位妊娠 B.左卵巢异位妊娠 C.子宫角妊娠 D.腹腔异位妊娠
答案 C
解析

猜你喜欢

发表评论
更多 网友评论0 条评论)
暂无评论

访问排行

Copyright © 2012-2014 恰考网 Inc. 保留所有权利。 Powered by tikuer.com

页面耗时0.0454秒, 内存占用1.02 MB, Cache:redis,访问数据库13次