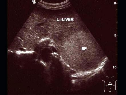
超声示意图为一患者剑突下横切图,显示了肝脾叠影图像,下列哪些患者最可能出现这种现象?()A.慢性活动性肝炎B.慢性粒细胞白血病C.急性乙型肝炎...

作者: rantiku 人气: - 评论: 0
问题 超声示意图为一患者剑突下横切图,显示了肝脾叠影图像,下列哪些患者最可能出现这种现象?()
选项 A.慢性活动性肝炎 B.慢性粒细胞白血病 C.急性乙型肝炎 D.肝脓肿 E.胃癌
答案 AB
解析

猜你喜欢

发表评论
更多 网友评论0 条评论)
暂无评论
错误啦!

错误信息

  • 消息: [程序异常] : MISCONF Redis is configured to save RDB snapshots, but it's currently unable to persist to disk. Commands that may modify the data set are disabled, because this instance is configured to report errors during writes if RDB snapshotting fails (stop-writes-on-bgsave-error option). Please check the Redis logs for details about the RDB error.
  • 文件: /twcms/kongphp/cache/cache_redis.class.php
  • 位置: 第 85 行
    <?php echo 'KongPHP, Road to Jane.'; ?>