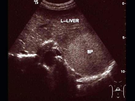
超声示意图为一患者剑突下横切图,显示了肝脾叠影图像,下列哪些患者最可能出现这种现象?()A.慢性活动性肝炎B.慢性粒细胞白血病C.急性乙型肝炎...

作者: rantiku 人气: - 评论: 0
问题 超声示意图为一患者剑突下横切图,显示了肝脾叠影图像,下列哪些患者最可能出现这种现象?()
选项 A.慢性活动性肝炎 B.慢性粒细胞白血病 C.急性乙型肝炎 D.肝脓肿 E.胃癌
答案 AB
解析

猜你喜欢

发表评论
更多 网友评论0 条评论)
暂无评论

访问排行

Copyright © 2012-2014 恰考网 Inc. 保留所有权利。 Powered by tikuer.com

页面耗时0.0674秒, 内存占用1.03 MB, Cache:redis,访问数据库18次