男性,40岁,颈部出现无痛性囊性包块2年余,CT扫描如图所示,最可能诊断为 ( )A、神经源性肿瘤B、颈动脉鞘瘤C、血管瘤D、...

作者: rantiku 人气: - 评论: 0
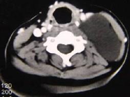
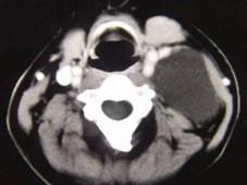
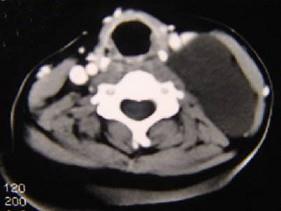
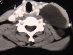
问题 男性,40岁,颈部出现无痛性囊性包块2年余,CT扫描如图所示,最可能诊断为 ( )
选项 A、神经源性肿瘤 B、颈动脉鞘瘤 C、血管瘤 D、淋巴结肿大 E、淋巴管瘤
答案 E
解析

猜你喜欢

发表评论
更多 网友评论0 条评论)
暂无评论

访问排行

Copyright © 2012-2014 恰考网 Inc. 保留所有权利。 Powered by tikuer.com

页面耗时0.0400秒, 内存占用1.03 MB, Cache:redis,访问数据库20次