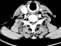
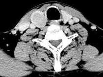
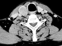
男,43岁,右颈部扪及一包块,CT如图所示,应诊断为 ( )A、甲状腺原发淋巴瘤B、甲状腺转移癌C、甲状腺腺癌D、结节性甲状腺...

作者: rantiku 人气: - 评论: 0
问题 男,43岁,右颈部扪及一包块,CT如图所示,应诊断为 ( )
选项 A、甲状腺原发淋巴瘤 B、甲状腺转移癌 C、甲状腺腺癌 D、结节性甲状腺肿 E、甲状腺腺瘤
答案 E
解析

猜你喜欢

发表评论
更多 网友评论0 条评论)
暂无评论

访问排行

Copyright © 2012-2014 恰考网 Inc. 保留所有权利。 Powered by tikuer.com

页面耗时0.0401秒, 内存占用1.03 MB, Cache:redis,访问数据库19次