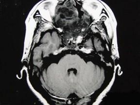
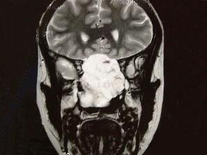
女性,41岁,鼻腔流脓涕3年,鼻部面部肿胀1年,近来加重,MRI检查如图,请选择最可能诊断 ( )A、鼻咽癌B、鼻腔血管瘤C、鼻腔...

作者: rantiku 人气: - 评论: 0
问题 女性,41岁,鼻腔流脓涕3年,鼻部面部肿胀1年,近来加重,MRI检查如图,请选择最可能诊断 ( )
选项 A、鼻咽癌 B、鼻腔血管瘤 C、鼻腔内出血 D、鼻腔软骨瘤 E、鼻腔内囊肿
答案 D
解析

猜你喜欢

发表评论
更多 网友评论0 条评论)
暂无评论

访问排行

Copyright © 2012-2014 恰考网 Inc. 保留所有权利。 Powered by tikuer.com

页面耗时0.0328秒, 内存占用1.03 MB, Cache:redis,访问数据库17次