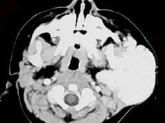
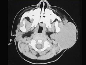
1岁女孩,左耳垂下进行性增大肿块3个月,触之质软,下面是其颈部CT检查结果,其中左图是普通扫描,右图是增强扫描。请问,患者最可能的诊断是 ( )A...

作者: rantiku 人气: - 评论: 0
问题 1岁女孩,左耳垂下进行性增大肿块3个月,触之质软,下面是其颈部CT检查结果,其中左图是普通扫描,右图是增强扫描。请问,患者最可能的诊断是 ( )
选项 A、腮腺淋巴结结核 B、腮腺黏液表皮样癌 C、腮腺腺样囊性癌 D、腮腺血管瘤 E、腮腺混合瘤
答案 D
解析

猜你喜欢

发表评论
更多 网友评论0 条评论)
暂无评论

访问排行

Copyright © 2012-2014 恰考网 Inc. 保留所有权利。 Powered by tikuer.com

页面耗时0.0296秒, 内存占用1.03 MB, Cache:redis,访问数据库19次