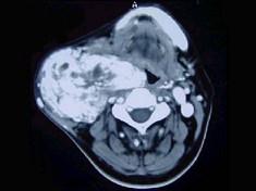
45岁,男性,颈部渐进性增大包块,CT增强扫描如图所示,请选择最可能诊断 ( )A、颈动脉体瘤B、甲状腺癌C、颈动脉夹层瘤D、神经鞘瘤...

作者: rantiku 人气: - 评论: 0
问题 45岁,男性,颈部渐进性增大包块,CT增强扫描如图所示,请选择最可能诊断 ( )
选项 A、颈动脉体瘤 B、甲状腺癌 C、颈动脉夹层瘤 D、神经鞘瘤 E、颈部肿大淋巴结
答案 A
解析

猜你喜欢

发表评论
更多 网友评论0 条评论)
暂无评论

访问排行

Copyright © 2012-2014 恰考网 Inc. 保留所有权利。 Powered by tikuer.com

页面耗时0.0671秒, 内存占用1.03 MB, Cache:redis,访问数据库14次