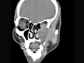
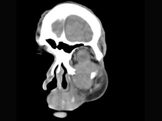
男,65岁,左眼球突出近一年,鼻涕带血,面颊部隆起,同时面颊部有麻木感,CT检查如图,最可能诊断为 ( )A、上颌窦癌B、骨肉瘤C...

作者: rantiku 人气: - 评论: 0
问题 男,65岁,左眼球突出近一年,鼻涕带血,面颊部隆起,同时面颊部有麻木感,CT检查如图,最可能诊断为 ( )
选项 A、上颌窦癌 B、骨肉瘤 C、上颌窦血管瘤 D、上颌窦囊肿 E、上颌窦息肉
答案 A
解析

猜你喜欢

发表评论
更多 网友评论0 条评论)
暂无评论

访问排行

Copyright © 2012-2014 恰考网 Inc. 保留所有权利。 Powered by tikuer.com

页面耗时0.0417秒, 内存占用1.03 MB, Cache:redis,访问数据库20次