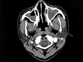
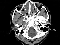
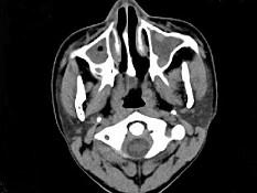
男,14岁,持续性鼻塞、嗅觉减退,流脓涕数年,CT检查如图,最可能的诊断为 ( )A、恶性肉芽肿B、上颌窦癌C、鼻及鼻窦息肉D...

作者: rantiku 人气: - 评论: 0
问题 男,14岁,持续性鼻塞、嗅觉减退,流脓涕数年,CT检查如图,最可能的诊断为 ( )
选项 A、恶性肉芽肿 B、上颌窦癌 C、鼻及鼻窦息肉 D、过敏性鼻炎及鼻窦炎 E、鼻炎及鼻窦炎
答案 E
解析

猜你喜欢

发表评论
更多 网友评论0 条评论)
暂无评论

访问排行

Copyright © 2012-2014 恰考网 Inc. 保留所有权利。 Powered by tikuer.com

页面耗时0.0412秒, 内存占用1.03 MB, Cache:redis,访问数据库20次