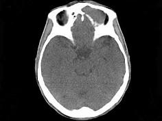
男,53岁,近两年来渐进性头痛,伴左眼球外突,并向前下方移位,CT检查如图,最可能诊断为 ( )A、眶内炎性假瘤B、眼格氏病C、左...

作者: rantiku 人气: - 评论: 0
问题 男,53岁,近两年来渐进性头痛,伴左眼球外突,并向前下方移位,CT检查如图,最可能诊断为 ( )
选项 A、眶内炎性假瘤 B、眼格氏病 C、左额窦癌 D、左额窦黏液囊肿 E、额窦炎症
答案 D
解析

猜你喜欢

发表评论
更多 网友评论0 条评论)
暂无评论

访问排行

Copyright © 2012-2014 恰考网 Inc. 保留所有权利。 Powered by tikuer.com

页面耗时0.0307秒, 内存占用1.03 MB, Cache:redis,访问数据库19次