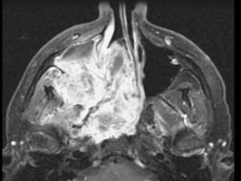
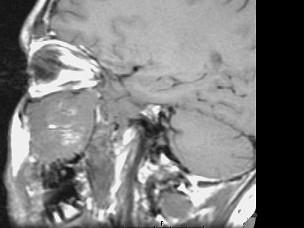
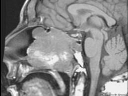
15岁,男性,渐进性鼻塞1年余,MRI扫描如图所示,请选择最可能诊断 ( )A、鼻咽部囊肿B、鼻咽癌C、鼻咽部脓肿D、脊索瘤 ...

作者: rantiku 人气: - 评论: 0
问题 15岁,男性,渐进性鼻塞1年余,MRI扫描如图所示,请选择最可能诊断 ( )
选项 A、鼻咽部囊肿 B、鼻咽癌 C、鼻咽部脓肿 D、脊索瘤 E、鼻咽部纤维血管瘤
答案 E
解析

猜你喜欢

发表评论
更多 网友评论0 条评论)
暂无评论

访问排行

Copyright © 2012-2014 恰考网 Inc. 保留所有权利。 Powered by tikuer.com

页面耗时0.0378秒, 内存占用1.03 MB, Cache:redis,访问数据库20次