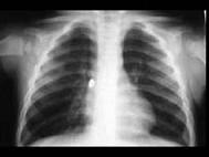
一患儿误吸入一异物,出现呼吸困难,胸部X线片如图,可诊断为 ( )A、肺炎B、以上都不是C、左支气管异物D、右支气管异物E、总支气管异物

作者: rantiku 人气: - 评论: 0
问题 一患儿误吸入一异物,出现呼吸困难,胸部X线片如图,可诊断为 ( )
选项 A、肺炎 B、以上都不是 C、左支气管异物 D、右支气管异物 E、总支气管异物
答案 D
解析

猜你喜欢

发表评论
更多 网友评论0 条评论)
暂无评论

访问排行

Copyright © 2012-2014 恰考网 Inc. 保留所有权利。 Powered by tikuer.com

页面耗时0.0415秒, 内存占用1.03 MB, Cache:redis,访问数据库19次