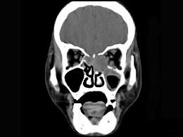
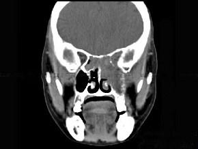
男性50岁,涕中带血半年,体检发现右侧颈部多个硬结,CT扫描如图所示,请选择正确的描述和结论 ( )A、考虑为右侧筛窦黏液性囊肿B、考...

作者: rantiku 人气: - 评论: 0
问题 男性50岁,涕中带血半年,体检发现右侧颈部多个硬结,CT扫描如图所示,请选择正确的描述和结论 ( )
选项 A、考虑为右侧筛窦黏液性囊肿 B、考虑为右侧筛窦癌 C、软组织影累及对侧筛窦、右侧上颌窦 D、右侧眶内壁、上颌窦壁及颅底骨质破坏 E、右侧筛窦内见软组织块影,边缘不规则
答案 BCDE
解析

猜你喜欢

发表评论
更多 网友评论0 条评论)
暂无评论

访问排行

Copyright © 2012-2014 恰考网 Inc. 保留所有权利。 Powered by tikuer.com

页面耗时0.0326秒, 内存占用1.03 MB, Cache:redis,访问数据库19次