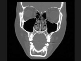
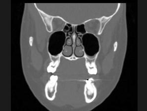
25岁女性,车祸伤及面部,X线及CT检查如图所示,下列哪些描述或诊断正确 ( )A、考虑为左侧眶底骨折B、左侧上颌窦积液C、CT发...

作者: rantiku 人气: - 评论: 0
问题 25岁女性,车祸伤及面部,X线及CT检查如图所示,下列哪些描述或诊断正确 ( )
选项 A、考虑为左侧眶底骨折 B、左侧上颌窦积液 C、CT发现左侧眶底骨质断裂 D、左侧上颌窦内见气-液面 E、X线示左侧眶底较正常变低
答案 ABCDE
解析

猜你喜欢

发表评论
更多 网友评论0 条评论)
暂无评论

访问排行

Copyright © 2012-2014 恰考网 Inc. 保留所有权利。 Powered by tikuer.com

页面耗时0.0392秒, 内存占用1.03 MB, Cache:redis,访问数据库19次