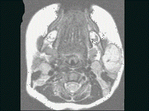
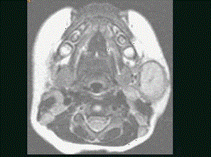
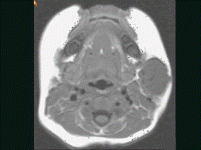
40岁,患者,左面部渐进性增大的包块,MRI检查如图所示,应考虑为 ( ) A、左面部脂肪瘤B、左面部神经纤维瘤C、左面部囊...

作者: rantiku 人气: - 评论: 0
问题 40岁,患者,左面部渐进性增大的包块,MRI检查如图所示,应考虑为 ( )
选项 A、左面部脂肪瘤 B、左面部神经纤维瘤 C、左面部囊肿 D、左面部脓肿 E、左面部毛细血管瘤
答案 E
解析

猜你喜欢

发表评论
更多 网友评论0 条评论)
暂无评论

访问排行

Copyright © 2012-2014 恰考网 Inc. 保留所有权利。 Powered by tikuer.com

页面耗时0.0369秒, 内存占用1.03 MB, Cache:redis,访问数据库19次