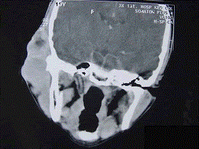
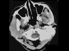
19岁,女性患者,右侧面颊部肿胀一年,CT检查如图所示,请选择最佳答案 ( ) A、右颊部横纹肌肉瘤B、右颊部血肿C、右颊部...

作者: rantiku 人气: - 评论: 0
问题 19岁,女性患者,右侧面颊部肿胀一年,CT检查如图所示,请选择最佳答案 ( )
选项 A、右颊部横纹肌肉瘤 B、右颊部血肿 C、右颊部血管瘤 D、右颊部脂肪瘤 E、右颊部神经纤维瘤
答案 C
解析

猜你喜欢

发表评论
更多 网友评论0 条评论)
暂无评论

访问排行

Copyright © 2012-2014 恰考网 Inc. 保留所有权利。 Powered by tikuer.com

页面耗时0.0387秒, 内存占用1.03 MB, Cache:redis,访问数据库18次