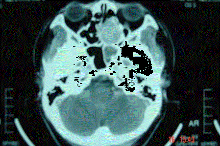
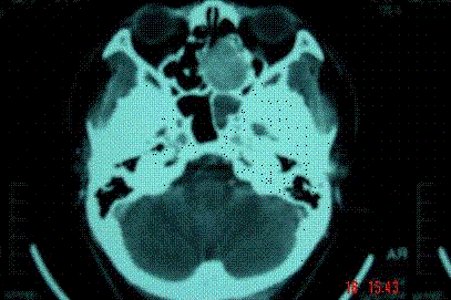
病历摘要: 患者男,37岁,因右鼻塞伴涕中带血4个月入院,患者4个月前始右鼻塞,为间断性,偶有涕中带血,时有流脓性分泌物,并症状渐渐加重。但发病以来患者无...

作者: rantiku 人气: - 评论: 0
问题 病历摘要: 患者男,37岁,因右鼻塞伴涕中带血4个月入院,患者4个月前始右鼻塞,为间断性,偶有涕中带血,时有流脓性分泌物,并症状渐渐加重。但发病以来患者无头痛、面部麻木和疼痛,无复视及流泪,张口正常。检查:右侧鼻腔总鼻道可见表面光滑、质中、粉红色肿物,触之不易出血。鼻咽黏膜光滑,未见新生物和黏膜糜烂。颈部未及淋巴结肿大。 假如该肿瘤非目前状态,而是已侵犯颅底,如采用鼻窦进路切除该肿瘤,需注意些什么?
选项 A、术后发生脑脊液漏可能为硬脑膜缝合覆盖不严密所致 B、彻底咬除被肿瘤侵蚀的颅底骨质,直至正常的骨结构为止 C、如发现硬脑膜表面不平、色泽改变应加切除 D、尽量将肿瘤整块切除 E、切除怀疑被侵犯的脑膜时,边界应离肿瘤外界至少3cm F、根据术中情况,必要时需颞肌筋膜或人造脑膜修复 G、如发现硬脑膜内层粗糟不平、与脑组织粘连者,应予以保留 H、切除怀疑被侵犯的脑膜时,边界应离肿瘤外界至少3mm
答案 ABCDFH
解析 ABCDFH

猜你喜欢

发表评论
更多 网友评论0 条评论)
暂无评论

访问排行

Copyright © 2012-2014 恰考网 Inc. 保留所有权利。 Powered by tikuer.com

页面耗时0.0429秒, 内存占用1.04 MB, Cache:redis,访问数据库20次