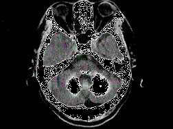
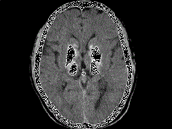
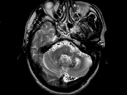
男,49岁,反复发作性癫痫,双手震颤5年,伴头昏行走不稳,生化检查:血清钙降低,血清磷升高,请根据所提供图像,选择最可能的诊断 ( ) ...

作者: rantiku 人气: - 评论: 0
问题 男,49岁,反复发作性癫痫,双手震颤5年,伴头昏行走不稳,生化检查:血清钙降低,血清磷升高,请根据所提供图像,选择最可能的诊断 ( )
选项 A、肝豆状核变性 B、甲旁低 C、一氧化碳中毒性脑病 D、霉变甘蔗中毒 E、Fahr病
答案 B
解析

猜你喜欢

发表评论
更多 网友评论0 条评论)
暂无评论

访问排行

Copyright © 2012-2014 恰考网 Inc. 保留所有权利。 Powered by tikuer.com

页面耗时0.0674秒, 内存占用1.03 MB, Cache:redis,访问数据库18次