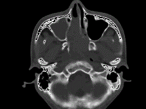
男,20岁,头痛、鼻塞、鼻出血,CT如图所示,最可能诊断为 ( ) A、鼻咽神经纤维瘤B、鼻咽腺样体增生C、巨大的鼻息肉...

作者: rantiku 人气: - 评论: 0
问题 男,20岁,头痛、鼻塞、鼻出血,CT如图所示,最可能诊断为 ( )
选项 A、鼻咽神经纤维瘤 B、鼻咽腺样体增生 C、巨大的鼻息肉 D、鼻咽纤维血管瘤 E、鼻咽癌
答案 D
解析

猜你喜欢

发表评论
更多 网友评论0 条评论)
暂无评论
错误啦!

错误信息

  • 消息: [程序异常] : MISCONF Redis is configured to save RDB snapshots, but it's currently unable to persist to disk. Commands that may modify the data set are disabled, because this instance is configured to report errors during writes if RDB snapshotting fails (stop-writes-on-bgsave-error option). Please check the Redis logs for details about the RDB error.
  • 文件: /twcms/kongphp/cache/cache_redis.class.php
  • 位置: 第 85 行
    <?php echo 'KongPHP, Road to Jane.'; ?>