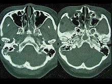
男,35岁,头部外伤后鼻腔有清亮液体流出,CT如图所示,最可能诊断 ( ) A、外伤性颅底骨折B、鼻窦炎伴鼻窦积脓C、颅底骨折伴鼻窦积血D...

作者: rantiku 人气: - 评论: 0
问题 男,35岁,头部外伤后鼻腔有清亮液体流出,CT如图所示,最可能诊断 ( )
选项 A、外伤性颅底骨折 B、鼻窦炎伴鼻窦积脓 C、颅底骨折伴鼻窦积血 D、颅底骨折,鼻窦炎 E、颅底骨折伴脑脊液鼻漏
答案 E
解析

猜你喜欢

发表评论
更多 网友评论0 条评论)
暂无评论

访问排行

Copyright © 2012-2014 恰考网 Inc. 保留所有权利。 Powered by tikuer.com

页面耗时0.0388秒, 内存占用1.03 MB, Cache:redis,访问数据库19次