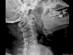
37岁,女性患者,咽部异物感、咽痛伴反射性耳痛、头颈部不适近一年余,X线检查如图所示,请选择正确的描述和答案 ( ) A、右侧茎突过长综合征...

作者: rantiku 人气: - 评论: 0
问题 37岁,女性患者,咽部异物感、咽痛伴反射性耳痛、头颈部不适近一年余,X线检查如图所示,请选择正确的描述和答案 ( )
选项 A、右侧茎突过长综合征 B、正常茎突 C、右侧茎突长约4.0cm D、双侧茎突过长综合征 E、左侧茎突长约3.5cm
答案 CDE
解析

猜你喜欢

发表评论
更多 网友评论0 条评论)
暂无评论

访问排行

Copyright © 2012-2014 恰考网 Inc. 保留所有权利。 Powered by tikuer.com

页面耗时0.1214秒, 内存占用1.03 MB, Cache:redis,访问数据库19次