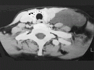
37岁女性,左侧颈部肿块渐进性增大,无压痛,局部皮温不高,CT、MRI扫描如图所示,请选择正确的描述或诊断 ( ) A、MRI的TW...

作者: rantiku 人气: - 评论: 0
问题 37岁女性,左侧颈部肿块渐进性增大,无压痛,局部皮温不高,CT、MRI扫描如图所示,请选择正确的描述或诊断 ( )
选项 A、MRI的TWI呈高信号,其内可见分隔 B、考虑为淋巴管囊肿 C、增强扫描未见强化 D、MRI的TWI呈低信号 E、CT发现左侧颈后三角区可见低密度肿块影
答案 ABCDE
解析

猜你喜欢

发表评论
更多 网友评论0 条评论)
暂无评论

访问排行

Copyright © 2012-2014 恰考网 Inc. 保留所有权利。 Powered by tikuer.com

页面耗时0.0488秒, 内存占用1.03 MB, Cache:redis,访问数据库16次