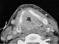
男,55岁,声嘶6年,有长期吸烟史。检查:无呼吸困难。喉镜检查:声带慢性充血,可见右侧声带可见菜花样新生物,右侧声带活动固定,喉部CT检查如下图:诊断...

作者: rantiku 人气: - 评论: 0
问题 男,55岁,声嘶6年,有长期吸烟史。检查:无呼吸困难。喉镜检查:声带慢性充血,可见右侧声带可见菜花样新生物,右侧声带活动固定,喉部CT检查如下图: 诊断首先考虑 ( )
选项 A、喉乳头状瘤 B、喉结核 C、慢性喉炎 D、喉癌 E、声带白斑
答案 D
解析

猜你喜欢

发表评论
更多 网友评论0 条评论)
暂无评论

访问排行

Copyright © 2012-2014 恰考网 Inc. 保留所有权利。 Powered by tikuer.com

页面耗时0.0535秒, 内存占用1.03 MB, Cache:redis,访问数据库17次