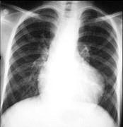
法洛四联症胸部X线检查最具特征性的表现是 ( )A.梨形心B.靴形心C.烧瓶心D.肺门阴影增大E.肺血管纹理增多

作者: rantiku 人气: - 评论: 0
问题 法洛四联症胸部X线检查最具特征性的表现是 ( )
选项 A.梨形心 B.靴形心 C.烧瓶心 D.肺门阴影增大 E.肺血管纹理增多
答案 B
解析

猜你喜欢

发表评论
更多 网友评论0 条评论)
暂无评论

访问排行

Copyright © 2012-2014 恰考网 Inc. 保留所有权利。 Powered by tikuer.com

页面耗时0.0556秒, 内存占用1.03 MB, Cache:redis,访问数据库20次