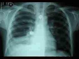
6岁小儿,发热10天,伴右侧胸痛,刺激性咳嗽。查体:精神尚可,体温38.5℃,呼吸35次/min。右下肺叩诊浊音,听诊呼吸音明显减弱。胸片示右肺中部云雾状...

作者: rantiku 人气: - 评论: 0
问题 6岁小儿,发热10天,伴右侧胸痛,刺激性咳嗽。查体:精神尚可,体温38.5℃,呼吸35次/min。右下肺叩诊浊音,听诊呼吸音明显减弱。胸片示右肺中部云雾状浸润影,右肺下部均匀致密阴影,肋膈角消失。血白细胞8×10/L,中性粒细胞52%,淋巴细胞48%,血沉45mm。结核菌素试验1:2000,硬结10mm×10mm,血冷凝集试验1:128。最可能的诊断是 ( )
选项 A、腺病毒性肺炎并发渗出性胸膜炎 B、支原体肺炎并发渗出性胸膜炎 C、大叶性肺炎并发脓胸 D、结核性胸膜炎 E、金黄色葡萄球菌肺炎并发脓胸
答案 B
解析

猜你喜欢

发表评论
更多 网友评论0 条评论)
暂无评论

访问排行

Copyright © 2012-2014 恰考网 Inc. 保留所有权利。 Powered by tikuer.com

页面耗时0.0413秒, 内存占用1.03 MB, Cache:redis,访问数据库19次