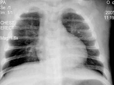
6个月婴儿,持续高热810天,精神萎靡,时有烦躁不安,频繁咳嗽,喘憋。左下肺叩诊稍浊,呼吸音降低,闻及小水泡音,血白细胞8×10/L。胸部X线片示两肺纹理...

作者: rantiku 人气: - 评论: 0
问题 6个月婴儿,持续高热810天,精神萎靡,时有烦躁不安,频繁咳嗽,喘憋。左下肺叩诊稍浊,呼吸音降低,闻及小水泡音,血白细胞8×10/L。胸部X线片示两肺纹理增多,可见大片状阴影,伴有肺气肿,见图。最可能的诊断是 ( )
选项 A、支原体肺炎 B、急性毛细支气管炎 C、腺病毒性肺炎 D、金黄色葡萄球菌肺炎 E、支气管肺炎合并中毒性脑病
答案 C
解析

猜你喜欢

发表评论
更多 网友评论0 条评论)
暂无评论

访问排行

Copyright © 2012-2014 恰考网 Inc. 保留所有权利。 Powered by tikuer.com

页面耗时0.0359秒, 内存占用1.03 MB, Cache:redis,访问数据库19次