三岁男孩,咳嗽、低热两周,不咯血、咳痰,X线检查如图,最可能的诊断是 ( )A、左肺结核(3型)B、以上都不正确C、左肺结核(1型)D、左...

作者: rantiku 人气: - 评论: 0
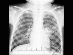
问题 三岁男孩,咳嗽、低热两周,不咯血、咳痰,X线检查如图,最可能的诊断是 ( )
选项 A、左肺结核(3型) B、以上都不正确 C、左肺结核(1型) D、左肺结核(2型) E、左肺炎症
答案 C
解析

猜你喜欢

发表评论
更多 网友评论0 条评论)
暂无评论

访问排行

Copyright © 2012-2014 恰考网 Inc. 保留所有权利。 Powered by tikuer.com

页面耗时0.0336秒, 内存占用1.03 MB, Cache:redis,访问数据库19次