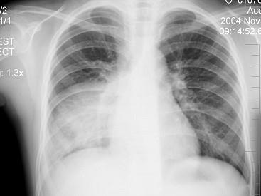
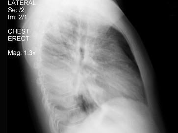
患者6岁半,女孩,咳嗽发热3天,体温39度,胸片如图,最合理的诊断是 ( )A、右肺脓肿B、右肺结核C、右侧胸腔积液D、右肺细菌性炎症

作者: rantiku 人气: - 评论: 0
问题 患者6岁半,女孩,咳嗽发热3天,体温39度,胸片如图,最合理的诊断是 ( )
选项 A、右肺脓肿 B、右肺结核 C、右侧胸腔积液 D、右肺细菌性炎症
答案 D
解析

猜你喜欢

发表评论
更多 网友评论0 条评论)
暂无评论

访问排行

Copyright © 2012-2014 恰考网 Inc. 保留所有权利。 Powered by tikuer.com

页面耗时0.0390秒, 内存占用1.03 MB, Cache:redis,访问数据库20次