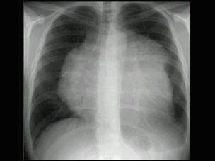
男,8岁,胸闷,气急,查体见颈静脉显露,胸片如图,最可能的诊断是 ( )A、房间隔缺损B、肺静脉异位引流C、心肌炎D、淋巴瘤E、心包积液

作者: rantiku 人气: - 评论: 0
问题 男,8岁,胸闷,气急,查体见颈静脉显露,胸片如图,最可能的诊断是 ( )
选项 A、房间隔缺损 B、肺静脉异位引流 C、心肌炎 D、淋巴瘤 E、心包积液
答案 D
解析

猜你喜欢

发表评论
更多 网友评论0 条评论)
暂无评论

访问排行

Copyright © 2012-2014 恰考网 Inc. 保留所有权利。 Powered by tikuer.com

页面耗时0.0485秒, 内存占用1.03 MB, Cache:redis,访问数据库14次