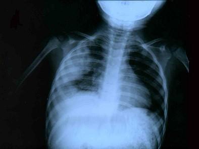
2岁小儿突然高热、咳嗽,抗生素治疗12天仍未见效,且咳嗽气促加重。呼吸55次/min,心率160次/min,两肺可闻及细小水泡音。右上肺叩诊稍浊,呼吸音减...

作者: rantiku 人气: - 评论: 0
问题 2岁小儿突然高热、咳嗽,抗生素治疗12天仍未见效,且咳嗽气促加重。呼吸55次/min,心率160次/min,两肺可闻及细小水泡音。右上肺叩诊稍浊,呼吸音减弱,并可闻及湿啰音。胸部X线片示右肺散在小片状浸润,部分融合成片,右上肺大片浓密阴影,阴影内似有液气平,胸片见图。应考虑为 ( )
选项 A、革兰阴性杆菌肺炎 B、支原体肺炎 C、大叶性肺炎、脓胸 D、金黄色葡萄球菌肺炎、肺脓肿 E、病毒性肺炎、渗出性胸膜炎
答案 D
解析

猜你喜欢

发表评论
更多 网友评论0 条评论)
暂无评论

访问排行

Copyright © 2012-2014 恰考网 Inc. 保留所有权利。 Powered by tikuer.com

页面耗时0.0341秒, 内存占用1.03 MB, Cache:redis,访问数据库19次