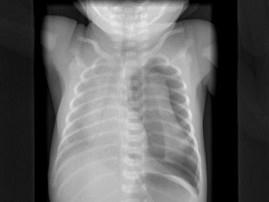
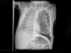
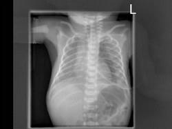
出生一天的早产儿,呼吸窘迫,请结合图片选出最可能的诊断 ( )A、肺气肿B、气胸C、肺气肿D、肋骨骨折E、湿肺

作者: rantiku 人气: - 评论: 0
问题 出生一天的早产儿,呼吸窘迫,请结合图片选出最可能的诊断 ( )
选项 A、肺气肿 B、气胸 C、肺气肿 D、肋骨骨折 E、湿肺
答案 B
解析

猜你喜欢

发表评论
更多 网友评论0 条评论)
暂无评论

访问排行

Copyright © 2012-2014 恰考网 Inc. 保留所有权利。 Powered by tikuer.com

页面耗时0.0308秒, 内存占用1.03 MB, Cache:redis,访问数据库15次