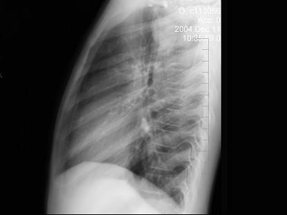
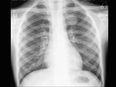
患者男性,9岁,常年咳嗽,无其他自觉症状,X线检查如图所示,最可能的诊断是 ( )A、纵隔肿瘤B、原发性肺癌C、炎性假瘤D、结核球

作者: rantiku 人气: - 评论: 0
问题 患者男性,9岁,常年咳嗽,无其他自觉症状,X线检查如图所示,最可能的诊断是 ( )
选项 A、纵隔肿瘤 B、原发性肺癌 C、炎性假瘤 D、结核球
答案 C
解析

猜你喜欢

发表评论
更多 网友评论0 条评论)
暂无评论

访问排行

Copyright © 2012-2014 恰考网 Inc. 保留所有权利。 Powered by tikuer.com

页面耗时0.0377秒, 内存占用1.03 MB, Cache:redis,访问数据库19次