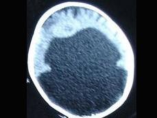
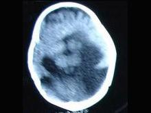
9个月女婴,头颅迅速增大,四肢肌力下降,CT表现如图,首先考虑以下哪个疾病 ( )A、脑灰质异位B、无脑回畸形C、Dandy-Wa...

作者: rantiku 人气: - 评论: 0
问题 9个月女婴,头颅迅速增大,四肢肌力下降,CT表现如图,首先考虑以下哪个疾病 ( )
选项 A、脑灰质异位 B、无脑回畸形 C、Dandy-Walker综合征 D、前脑无裂畸形 E、胼胝体发育不全
答案 D
解析

猜你喜欢

发表评论
更多 网友评论0 条评论)
暂无评论

访问排行

Copyright © 2012-2014 恰考网 Inc. 保留所有权利。 Powered by tikuer.com

页面耗时0.1038秒, 内存占用1.03 MB, Cache:redis,访问数据库17次