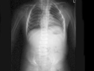
女,3岁,身高不增,智力正常,请结合图像,选出最可能的诊断 ( )A、粘多糖贮积症I型B、MPSII型C、肾性骨病D、粘多糖贮...

作者: rantiku 人气: - 评论: 0
问题 女,3岁,身高不增,智力正常,请结合图像,选出最可能的诊断 ( )
选项 A、粘多糖贮积症I型 B、MPSII型 C、肾性骨病 D、粘多糖贮积症IV型 E、维生素D缺乏症
答案 D
解析

猜你喜欢

发表评论
更多 网友评论0 条评论)
暂无评论

访问排行

Copyright © 2012-2014 恰考网 Inc. 保留所有权利。 Powered by tikuer.com

页面耗时0.0305秒, 内存占用1.03 MB, Cache:redis,访问数据库18次