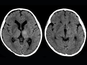
女,12岁,进行性肢体震颤1年余,多次出现发音困难,CT、MRI检查如图所示,最可能的诊断为 ( )A、脱髓鞘改变B、脑积水C、脑萎缩...

作者: rantiku 人气: - 评论: 0
问题 女,12岁,进行性肢体震颤1年余,多次出现发音困难,CT、MRI检查如图所示,最可能的诊断为 ( )
选项 A、脱髓鞘改变 B、脑积水 C、脑萎缩 D、双侧基底节区多发梗死 E、肝豆状核变性
答案 E
解析

猜你喜欢

发表评论
更多 网友评论0 条评论)
暂无评论

访问排行

Copyright © 2012-2014 恰考网 Inc. 保留所有权利。 Powered by tikuer.com

页面耗时0.0357秒, 内存占用1.03 MB, Cache:redis,访问数据库17次