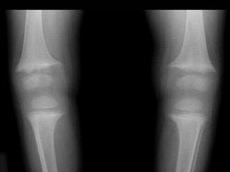
男,2岁,关节浮肿,请结合图像,选出最可能的诊断 ( )A、维生素C缺乏症B、维生素D过多症C、MPSD、维生素D缺乏症E、肾性骨病

作者: rantiku 人气: - 评论: 0
问题 男,2岁,关节浮肿,请结合图像,选出最可能的诊断 ( )
选项 A、维生素C缺乏症 B、维生素D过多症 C、MPS D、维生素D缺乏症 E、肾性骨病
答案 E
解析

猜你喜欢

发表评论
更多 网友评论0 条评论)
暂无评论

访问排行

Copyright © 2012-2014 恰考网 Inc. 保留所有权利。 Powered by tikuer.com

页面耗时0.0451秒, 内存占用1.03 MB, Cache:redis,访问数据库18次