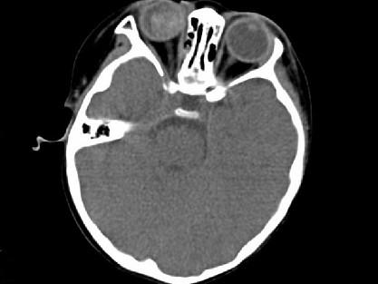
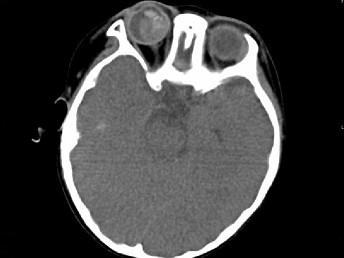
男,2岁、右眼白瞳症一个月,CT影像如图,最可能的诊断为 ( )A、Coats病B、视网膜母细胞瘤C、永存原始玻璃体增生症D、脉络膜骨...

作者: rantiku 人气: - 评论: 0
问题 男,2岁、右眼白瞳症一个月,CT影像如图,最可能的诊断为 ( )
选项 A、Coats病 B、视网膜母细胞瘤 C、永存原始玻璃体增生症 D、脉络膜骨病 E、眼球内寄生虫病
答案 B
解析

猜你喜欢

发表评论
更多 网友评论0 条评论)
暂无评论

访问排行

Copyright © 2012-2014 恰考网 Inc. 保留所有权利。 Powered by tikuer.com

页面耗时0.0450秒, 内存占用1.03 MB, Cache:redis,访问数据库20次