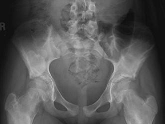
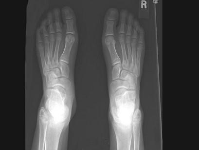
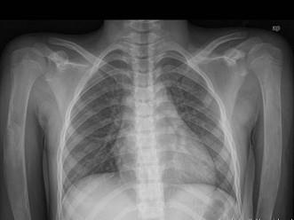
女,12岁,脊柱侧弯畸形,双下肢长短不一,请结合影像图像,最可能的诊断是 ( )A、非骨化性纤维瘤B、Paget病C、骨巨细胞瘤 ...

作者: rantiku 人气: - 评论: 0
问题 女,12岁,脊柱侧弯畸形,双下肢长短不一,请结合影像图像,最可能的诊断是 ( )
选项 A、非骨化性纤维瘤 B、Paget病 C、骨巨细胞瘤 D、内生软骨瘤 E、骨纤维异常增殖症
答案 E
解析

猜你喜欢

发表评论
更多 网友评论0 条评论)
暂无评论

访问排行

Copyright © 2012-2014 恰考网 Inc. 保留所有权利。 Powered by tikuer.com

页面耗时0.0356秒, 内存占用1.03 MB, Cache:redis,访问数据库19次