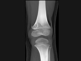
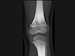
男,12岁,大腿下部间歇性疼痛,劳累后加重,结合图像,最可能的诊断是 ( )A、邻皮质软骨瘤B、非骨化性纤维瘤C、干骺端结核D...

作者: rantiku 人气: - 评论: 0
问题 男,12岁,大腿下部间歇性疼痛,劳累后加重,结合图像,最可能的诊断是 ( )
选项 A、邻皮质软骨瘤 B、非骨化性纤维瘤 C、干骺端结核 D、骨样骨瘤 E、纤维性骨皮质缺损
答案 E
解析

猜你喜欢

发表评论
更多 网友评论0 条评论)
暂无评论

访问排行

Copyright © 2012-2014 恰考网 Inc. 保留所有权利。 Powered by tikuer.com

页面耗时0.0316秒, 内存占用1.03 MB, Cache:redis,访问数据库19次