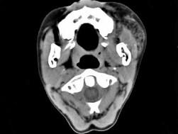
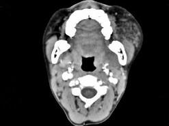
男,12岁,左面颊肿大5年余,局部呈紫红色,CT如图所示,最可能诊断为 ( )A、慢性腮腺炎B、下颌下腺慢性炎症C、血管外皮瘤...

作者: rantiku 人气: - 评论: 0
问题 男,12岁,左面颊肿大5年余,局部呈紫红色,CT如图所示,最可能诊断为 ( )
选项 A、慢性腮腺炎 B、下颌下腺慢性炎症 C、血管外皮瘤 D、动静脉畸形 E、蔓状血管瘤
答案 E
解析

猜你喜欢

发表评论
更多 网友评论0 条评论)
暂无评论

访问排行

Copyright © 2012-2014 恰考网 Inc. 保留所有权利。 Powered by tikuer.com

页面耗时0.0317秒, 内存占用1.03 MB, Cache:redis,访问数据库18次