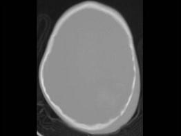
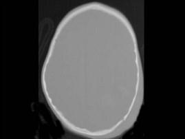
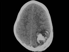
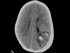
男,3岁,头颅被球击中,请结合CT图像,最选择可能的诊断是 ( )A、动脉瘤破裂出血B、血管畸形C、脑结核D、脑挫裂伤血肿形成...

作者: rantiku 人气: - 评论: 0
问题 男,3岁,头颅被球击中,请结合CT图像,最选择可能的诊断是 ( )
选项 A、动脉瘤破裂出血 B、血管畸形 C、脑结核 D、脑挫裂伤血肿形成 E、高血压性脑出血
答案 D
解析

猜你喜欢

发表评论
更多 网友评论0 条评论)
暂无评论

访问排行

Copyright © 2012-2014 恰考网 Inc. 保留所有权利。 Powered by tikuer.com

页面耗时0.0654秒, 内存占用1.03 MB, Cache:redis,访问数据库20次