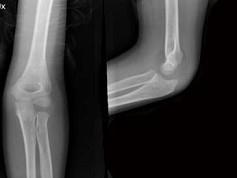
8岁男孩,因外伤后感左肘关节肿痛,活动受限半小时入院,行左肘关节正侧位摄片如图示,下列哪项描述错误 ( )A、左肱骨小头骺线增宽B、以上都不正确 ...

作者: rantiku 人气: - 评论: 0
问题 8岁男孩,因外伤后感左肘关节肿痛,活动受限半小时入院,行左肘关节正侧位摄片如图示,下列哪项描述错误 ( )
选项 A、左肱骨小头骺线增宽 B、以上都不正确 C、“X”线白线不连续 D、软组织肿胀 E、“八”字征
答案 A
解析

猜你喜欢

发表评论
更多 网友评论0 条评论)
暂无评论

访问排行

Copyright © 2012-2014 恰考网 Inc. 保留所有权利。 Powered by tikuer.com

页面耗时0.0330秒, 内存占用1.03 MB, Cache:redis,访问数据库19次