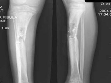
12岁,女性患者,因右小腿肿胀,疼痛,发热3月余,摄片如图所示,下列征象那项是错误的: ( )A、可见软组织肿块B、以上都不正确C、骨质增生硬...

作者: rantiku 人气: - 评论: 0
问题 12岁,女性患者,因右小腿肿胀,疼痛,发热3月余,摄片如图所示,下列征象那项是错误的: ( )
选项 A、可见软组织肿块 B、以上都不正确 C、骨质增生硬化 D、骨膜呈层状增生不明显 E、骨质呈溶骨性破坏
答案 A
解析

猜你喜欢

发表评论
更多 网友评论0 条评论)
暂无评论

访问排行

Copyright © 2012-2014 恰考网 Inc. 保留所有权利。 Powered by tikuer.com

页面耗时0.0553秒, 内存占用1.03 MB, Cache:redis,访问数据库18次