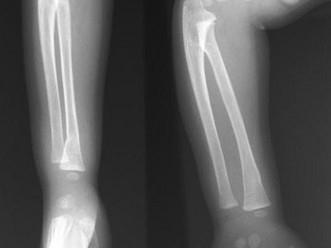
出生6个月的男婴,摔地后右手红肿,请结合CR片,选出骨折类型 ( )A、粉碎性骨折B、压缩骨折C、横行骨折D、斜行骨折E、青枝骨折

作者: rantiku 人气: - 评论: 0
问题 出生6个月的男婴,摔地后右手红肿,请结合CR片,选出骨折类型 ( )
选项 A、粉碎性骨折 B、压缩骨折 C、横行骨折 D、斜行骨折 E、青枝骨折
答案 E
解析

猜你喜欢

发表评论
更多 网友评论0 条评论)
暂无评论

访问排行

Copyright © 2012-2014 恰考网 Inc. 保留所有权利。 Powered by tikuer.com

页面耗时0.0464秒, 内存占用1.03 MB, Cache:redis,访问数据库19次