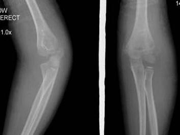
6岁女性患者,因外伤后致左肘关节肿痛,活动受限,外踝局部压痛明显X线摄片如图,最合适的诊断是 ( )A、左肱骨小头骨骺IV度分离B、以上都不正确 ...

作者: rantiku 人气: - 评论: 0
问题 6岁女性患者,因外伤后致左肘关节肿痛,活动受限,外踝局部压痛明显X线摄片如图,最合适的诊断是 ( )
选项 A、左肱骨小头骨骺IV度分离 B、以上都不正确 C、左肱骨小头骨骺II度分离 D、左肱骨小头骨骺III度分离 E、左肱骨小头骨骺I度分离
答案 C
解析

猜你喜欢

发表评论
更多 网友评论0 条评论)
暂无评论

访问排行

Copyright © 2012-2014 恰考网 Inc. 保留所有权利。 Powered by tikuer.com

页面耗时0.0470秒, 内存占用1.03 MB, Cache:redis,访问数据库13次